近日,我院骨外二科成功开展微创跟腱通道吻合器辅助下吻合术,不到半个小时就帮患者接上断了的“跟腱”,切口仅为3厘米。

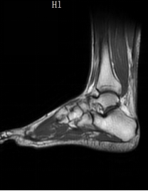
术前核磁
患者杨先生(化姓)是一名体育运动爱好者,前几日参加篮球比赛时,因发力不当,左脚落地时,踝部瞬间剧痛,无法站立。当即被朋友送到了当地医院就诊,磁共振检查显示:左跟腱断裂。随后,杨先生迅速转至我院骨外二科接受进一步住院治疗。
由于考虑到患者对篮球运动的热爱,对术后运动机能的恢复要求较高,如果采取传统开放式手术,患者创面长达10多厘米,不仅恢复较慢,影响美观,且术后运动能力的恢复难以保证。骨外二科主任李岩与患者及其家属详细沟通后,决定采用微创跟腱通道吻合器辅助下吻合术为患者进行治疗。


术中外观照
经过充分的术前准备,手术如期进行。在手术过程中,取左跟腱断裂处横行切口约3cm,插入跟腱定位器,剥离腓肠神经,切开跟腱筋膜鞘,旋入导向筒,建立通道,穿入带线双针,最终完成对断端跟腱的缝合。整个手术不到半个小时便顺利完成,患者术后精神状态良好、无不良反应。

术后外观照
术后,为了促进患者运动功能的恢复,我院骨外二科团队结合杨先生的实际情况,为他提供了切实可行的康复指导。杨先生对手术效果表示十分满意,并对自己的康复之路充满了信心。
我院骨外二科医疗团队由经验丰富、技术精湛的专业医生组成,在跟腱修复领域经验丰富,将以精湛的技艺和高度的责任心,为患者提供最优质的医疗服务。
健康小课堂
跟腱断裂是什么原因?
跟腱是在足跟与小腿之间的那条很粗壮结实、绷得很紧的肌腱,它连接小腿后方的肌肉群到跟骨。
跟腱断裂的根本原因是应力超过承受极限,即伸展能力不足以承受其自身收缩力量或外力的牵拉。尤其是平时缺乏锻炼的人群在进行运动量大、时间长、热身不够充分的比赛时,容易发生跟腱断裂。
如何预防跟腱断裂?
1、在运动前应做好充分的准备活动,运动中需要注意加强保护,如使用踝关节护套。
2、长时间不运动可能导致身体的协调性、灵活性下降,因此,锻炼要循序渐进,若中途出现疲劳或疼痛,需要休息几天。
3、应掌握正确运动的技术动作要领,切勿用蛮力;对于激烈的竞争性的运动一定要量力而行,不要勉强。
微创跟腱通道吻合器辅助下吻合术的特点
1、术创口极小,大大减少了手术过程中的创伤和出血,降低了术后疼痛和并发症的风险。
2、手术时间短,运动功能恢复较好,适合年轻、活动要求高的患者。
