公众版 员工版 0A系统

骨外二科

来源:
发布时间:2023-11-09
浏览:

为进一步提升医院实力,加强学科建设,提高医院实力,我院特意引进我市知名专家、原空军军医大学西京医院创伤骨科学组组长李岩教授作为我院骨外二科主任、学科带头人,并组建一支经验丰富、技术精湛、设备齐全的医疗团队,全心全意为患者服务。

目前,骨外二科在医院的大力支持下,在李岩主任的带领下,开展骨盆、髋臼、四肢骨折微创治疗,足踝创伤修复,畸形矫正等手术,并且具备国内外先进水平。在显微外科领域开展断指再植、畸形矫正、手功能重建、各类皮瓣修复等,在该领域具有丰富的治疗经验。

骨外二科与西京医院知名骨科各领域专家团队进行密切技术协作,我科医师去西京医院交流学习,开展病例讨论。在关节外科领域开展股骨头坏死的诊治,膝关节骨性关节炎的阶梯化治疗,人工膝、髋、肩、肘关节置换,微创关节置换,复杂人工关节翻修手术等,在运动损伤领域以膝、肩、肘、髋、踝关节运动伤病为主体开展较大规模的各类关节镜和切开手术,包括膝关节各种韧带损伤、半月板修复、软骨修复、髌骨关节不稳定、肩关节不稳定、肩袖损伤、肘关节镜、髋关节撞击症及盂唇损伤、踝关节不稳定及踝关节镜等。

病例展示

骨盆骨折微创治疗

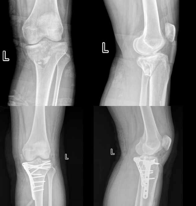
胫骨平台骨折

踝关节骨折

髋臼骨折

胫骨骨折的微创治疗

骨外二科现有医护人员14人,科室人才梯队合理,技术力量雄厚。现开放床位34张,具备完备的住院流程、技术精湛的手术团队和优质服务的护理团队。科室配备齐全的骨科手术设备、各类理疗仪及康复医疗设备等大中型医疗设备。

新的环境,新的征程,我们不忘初心、牢记使命,以一切以病人为中心的服务宗旨继续前行,在医院党委、各级院领导的关怀下,在李岩主任的带领下,在骨外二科每位成员的共同努力下,一定能打造成一支团结奋进、技术过硬、既有高度又有温度的优秀团队,为病人带来更加优质、高效的医疗服务!

地址:西医二附院外科楼三楼

联系电话:029-83553664

咨询电话:029 - 83550817(班内 8:00-12:00 14:00-18:00)15399079450(班后及节假日)

体检预约:83553610  住院患者免费车接电话:83533666

地址:西安市东郊纺织城纺东街167号

微信订阅号
服务号
抖音账号

CopyRight © 西安医学院第二附属医院 版权所有 陕ICP备08003370号